This is (supposed to be) a reflective diary by a (not very) anonymous biomedical scientist who works somewhere in the south of England.
One day this diary may well be submitted to the Health and Care Professions Council as evidence of ongoing continual professional development....
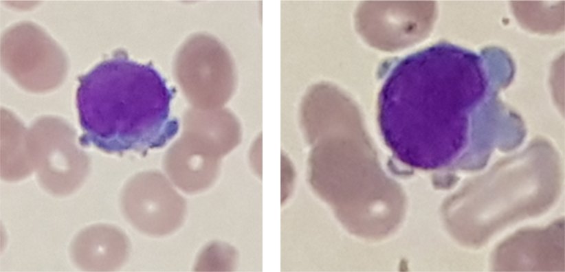
Cytoplasmic
blebs in lymphocytes… a search of the internet didn’t really tell me (in words
of one syllable) what they are all about. They would seem to be a feature
of either leukaemic of apoptotic cells.
No comments:
Post a Comment